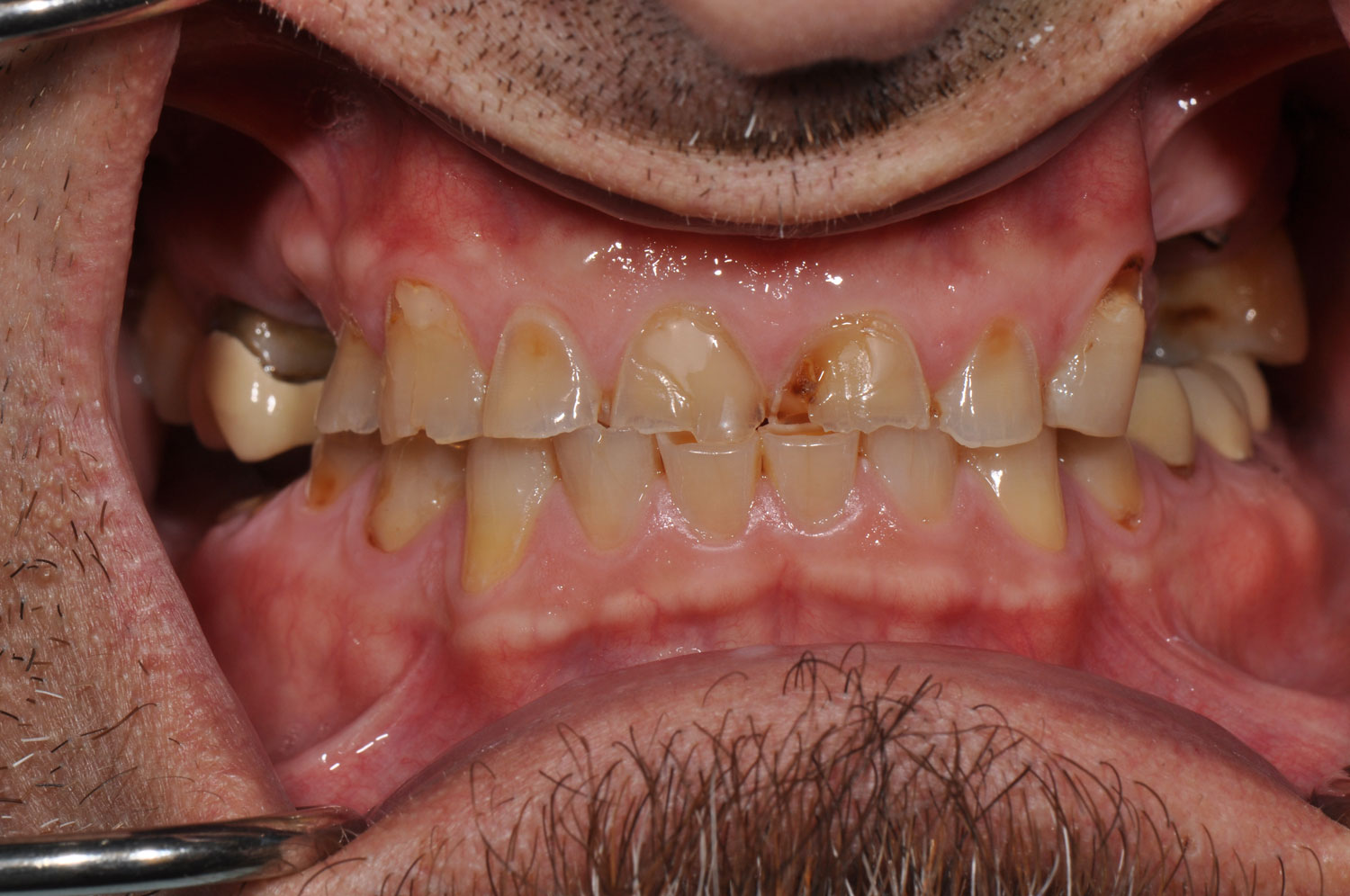
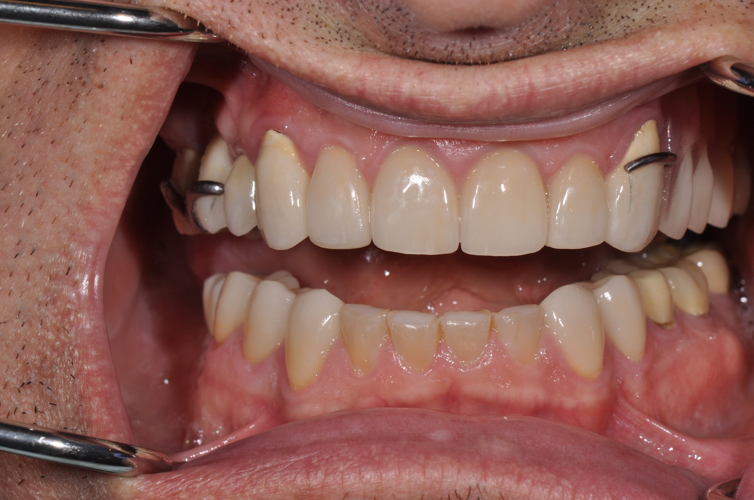
Crowns and bridges are complex restorations recommended when other less invasive options cannot save, preserve, or strengthen a tooth. Crowns restore function when teeth are fractured, stained, damaged, or needed to attach a bridge. A crown is a restoration that covers a tooth to restore it to its standard shape and size. Its purpose is not only to strengthen but to improve the appearance of a tooth.
Different Types of Crowns and Bridges
- Porcelain Fused to Metal Alloy Crown/Bridge – have a precious metal base and porcelain facing on top. These restoratives allow you to have a restoration that has strength and aesthetics.
- All Ceramic Crowns and Bridges – These new restorative materials are metal free and demonstrate properties similar to those of natural teeth.
- Gold Crown/Bridge -gold crowns are mostly used on posterior teeth when there is evidence of wear to teeth due to heavy grinding and clenching.
We are accepting new patients and referrals for dental treatment.
So contact us TODAY for your initial dental consultation.


