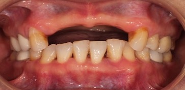
Dentures and partial dentures have been around for many years and are still a reasonable option for many patients. While overall function is greatly diminished in most cases, a denture or partial that is made properly can give years of good service. There are many issues related to the proper fabrication of dentures and partials and a Prosthodontist’s education focuses on the advanced techniques and skills needed for quality denture and partial fabrication.
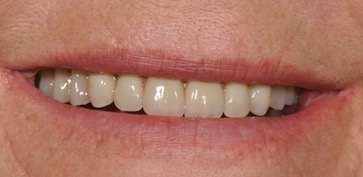
As Prosthodontists, Dr. Maroney and Dr. Dhawan enjoy the treatment of missing teeth with dentures and partial dentures. They have experience treating cases that are extremely straightforward to very complex denture patients. While addressing fit comfort and esthetics, our doctors understand that each patient needs a different level of support, which he and his staff can accommodate.
Our doctors are involved in both the clinical and the laboratory aspects of each denture and a partial denture made in the office. Dr. Maroney and Dr. Dhawan perform the laboratory procedures in his office laboratory. You can be assured that with his level of support, experience, and hands-on care your denture treatment will offer pleasing results.
As Prosthodontists, Dr. Maroney and Dr. Dhawan enjoy the treatment of missing teeth with dentures and partial dentures. They have experience treating cases that are extremely straightforward to very complex denture patients. While addressing fit comfort and esthetics, our doctors understand that each patient needs a different level of support, which he and his staff can accommodate.
Partial Dentures
Complete Dentures
We are accepting new patients and referrals for dental treatment.





